sigma biomedical

Diagnostic Ultrasound

Clinical Safety and Effectiveness

Testing Services

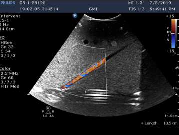
We offer image quality assessment as well as clinical safety and effectiveness assessment of diagnostic ultrasound systems and transducers. Measurements include Doppler sensitivity and measurement accuracy as required by the FDA in the product clearance process of diagnostic ultrasound systems.  Sigma Scientific Services is an A2LA and FDA accredited medical safety and performance test laboratory.

Test Methods

Doppler sensitivity and measurement accuracy measurements, as well as image quality assessment follow the FDA diagnostic ultrasound guidance Clinical safety and effectiveness requirements as well as the JIS T 1501 test standard for imaging performance of diagnostic ultrasound systems.

Test Reporting

Reports include Doppler sensitivity of diagnostic ultrasound transducers and systems, including maximum penetration depth, using string and flow phantoms for simulated use, in Color, PW and CW modes. Measurement accuracy includes the accuracy of the distance measurements, lateral and axial resolution, maximum penetration, as well as velocity measurement accuracy in CW and PW modes, among others.

Clinical safety